Dr Nooshika B.MONTAZERI et Dr Léon SEBAG
Chirurgiens-Dentistes à PARIS - Implantologie et Esthétique dentaire
10 RUE DE MONCEAU, 75008 PARIS
+33 1 45 62 85 43

+33 6 71 69 98 98

Dr Nooshika B.MONTAZERI et Dr Léon SEBAG
Chirurgiens-Dentistes à PARIS - Implantologie et Esthétique dentaire

Blog - Page 7

Comblement osseux après une extraction dentaire

Comblement osseux après une extraction dentaire

Maxillaire complet et traitement implantaire pour un bridge fixe vissé

Maxillaire complet et traitement implantaire pour un bridge fixe vissé

Comblement de sinus par abord latéral sans pose d’implant

Comblement de sinus par abord latéral sans pose d’implant

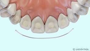
Fil de contention

Fil de contention

Conséquence de la perte des dents postérieures

Conséquence de la perte des dents postérieures

Protocole de dévitalisation d'une dent ou traitement endodontique

Protocole de dévitalisation d'une dent ou traitement endodontique

Parodontite et formation de la poche parodontale

Parodontite et formation de la poche parodontale

Le surfaçage

Le surfaçage

Traitement multi-attaches

Traitement multi-attaches

Appareil herbst

Appareil herbst

Contention de Hawley

Contention de Hawley

Les traitements orthodontiques pour adultes

Les traitements orthodontiques pour adultes

Grâce au développement de techniques discrètes et confortables, de plus en plus d’adultes ont recours à l’orthodontie.

Affichage des articles 73-84 sur 207

Création par Webdentiste

Connexion