Dr Nooshika B.MONTAZERI et Dr Léon SEBAG
Chirurgiens-Dentistes à PARIS - Implantologie et Esthétique dentaire
10 RUE DE MONCEAU, 75008 PARIS
+33 1 45 62 85 43

+33 6 71 69 98 98

Dr Nooshika B.MONTAZERI et Dr Léon SEBAG
Chirurgiens-Dentistes à PARIS - Implantologie et Esthétique dentaire

CAS CLINIQUES

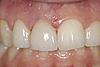
Cas 1 : Facette droite sur centrale dischromiée

Avant

Après

Cas 2 : Facette gauche sur centrale dischromiée

Avant

Après

Cas 3 : Facette ratée réhabilitée

Avant

Après

Cas 4 : Facettes latérales supérieures

Avant

Après

Cas 5 : Facette sur microdontie latérale gauche

Avant

Après

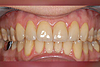
Cas 6 : Quatre facettes antérieures supérieures

Avant

Après

Cas 7 : Réfection globale d'un sourire par six facettes supérireures

Avant

Après

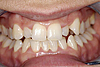
Cas 8 : Réhabilitation complète du sourire haut et bas

Avant

Après

Cas 9 : Réhabilitation de deux centrales antérieures dischromiées

Avant

Après

Cas 10 : Réhabilitation de deux centrales antérieures supérieures

Avant

Après

Cas 11 : Réhabilitation de quatre incisives antérieures supérieures

Avant

Après

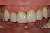
Cas 12 : Réhabilitation du sourire

Avant

Avant




Après

Cas 13 : Réhabilitation du sourire par remodelage gingivale et pose de six facettes

Avant

Après

Cas 14 : Réhabilitation du sourire par pose de six facettes

Avant

Après

Cas 15 : Réhabilitation du sourire par six facettes antérieures supérieures

Avant

Après

Cas 16 : Réhabilitation d'une latérale supérieure gauche

Avant

Après

Cas 17 : Réhabilitation d'une centrale supérieure droite

Avant

Après

Cas 18 : Remplacement de deux incisives latérales en malposition

Avant

Après


Après

Cas 19 : Réhabilitation d'une centrale supérieure droite

Avant

Après

Création par Webdentiste

Connexion